January is International Quality of Life Month
After Christmas has passed, the topic everyone talks about is New Year Resolutions. People start spending more time in self reflection, deciding what goals they have for the new year and what objectives they want to accomplish. Once January begins, the goal is to put those thoughts into action and have a "New Year, New You" attitude. Aptly timed, January ...
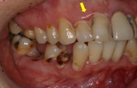
Periodontal [gum] disease will afflict 3 out of 4 adults after age 35, and it’s their major cause of tooth loss. Periodontal disease is the inflammation and infection of the supporting soft and hard tissue surrounding the teeth. In the early stages, it’s called gingivitis which is characterized by redness, ...
Your medicine cabinet may hold the answer to some of your oral health problems. Drugs that improve the health of one part of your body may have a detrimental effect on your mouth. For example, more than 400 medications produce dry mouth or xerostomia, which can be damaging to the gum tissue. Other ...




