Skip to main content
Fillings & Core Buildups
A healthy, beautiful smile starts here

Fillings & Core Buildups | Dentist
Improve your smile today – call to schedule a consultation!
Claim Now!

Fillings & Core Buildups

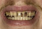
If you have a cavity, removing the damaged tooth structure and placing a filling in the hole will stop the progression of the cavity and prevent further tooth damage. Core buildups use a similar type of material as fillings to restore a tooth that has been heavily damaged so that it can be fitted with a crown or other restoration.

Meet Our Doctor:

Dr. Gregory Kivett, Jr. DDS
Dentist

Dr. Gregory Kivett, Jr. initially discovered his love for dentistry while serving in the United States Air Force as a dental laboratory technician. Following his honorable discharge in 1995, he made the decision to become a dentist. He graduated with honors from Southwest Missouri State University, where he majored in biology and minored in chemistry, and was quickly accepted to the School of Dentistry at the University of Missouri at Kansas City. He received his DDS in 2005, graduating with honors. That same year, Dr. Kivett also served ...

Getting an appointment is fast and easy!
Get Started!